About Knee Replacement

Knee Replacement surgery replaces the worn out cartilage of the knee joint either as a result of arthritis or injury. This is also called Knee Arthroplasty. Articular cartilage is the smooth shock absorbing lining of the bones of the knee joint.


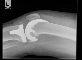
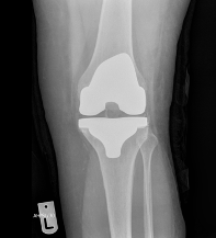
Images of Knee Replacement:


X-Ray of Knee Replacement 1
X-Ray of Knee Replacement 2

Types of Knee Replacement:

Total Knee Replacement: All three compartments of the knee are replaced during a total knee replacement. This is the most common type of knee replacement.

Partial Knee Replacement: A partial knee replacement, also known as a uni-compartmental knee replacement, can be performed if damage to the knee is limited to a single part, or compartment, of the knee.

Single Stage Bilateral Knee Replacement: Both knee replacements are done at the same time. Usually reserved for medically fit patients to avoid the need for a second anesthetic.


Is it necessary to have a Knee replacement?

Advanced osteoarthritis of the knee is a painful condition limiting the ability of patients to perform activities of daily living like walking, climbing stairs, and exercises. This leads to a deterioration in quality of life. The arthritic knee can give way leading to falls and fractures. Rheumatoid arthritis and post-injury arthritis can also lead to a similar picture needing knee replacement surgery.


What happens during Knee Replacement Surgery?

The procedure is performed by numbing the legs – spinal anesthesia or asleep – general anesthesia. This will be discussed by your anesthesiologist. The procedure usually takes one or two hours. Dr. Das will remove the damaged cartilage and bone and then position the new metal and plastic joint surfaces to restore the alignment and function of your knee. He exclusively utilizes US or European imported Knee replacement implants with an excellent published track record. You might have to stay in the hospital for a few days depending on your rehab and physiotherapy, which is supervised by trained physiotherapists. Usually, patients are able to walk on the same day as Dr. Das uses a special technique called Enhanced Recovery Protocol (ERP).


What is the cost of knee replacement Surgery?

Dr. Das exclusively utilizes US or European-imported Knee replacement implants with an excellent published track record. He has the best surgical outcome with a very high patient satisfaction rate. This is provided at an affordable package cost which includes surgery, hospital stay, implants, and physiotherapy. Please feel free to contact us to know about the knee replacement package.

Book an Appointment